Conteúdo copiado com sucesso!

Hematoma Muscular Pós-uso de Anticoagulante

Voltar
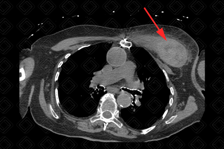
Texto alternativo para a imagem Figura 1. Créditos: Dra. Elazir Mota - Rio de Janeiro/RJ
Texto alternativo para a imagem Figura 2. Créditos: Dra. Elazir Mota - Rio de Janeiro/RJ
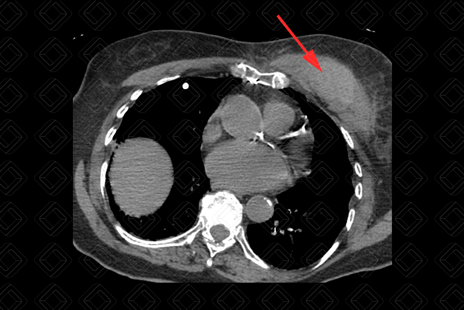
Texto alternativo para a imagem Figura 3. Créditos: Dra. Elazir Mota - Rio de Janeiro/RJ

Descrição das figuras 1, 2 e 3: Tomografia computadorizada de tórax evidenciando lesão heterogênea (seta vermelha) na musculatura peitoral esquerda, espontaneamente densa (densidade ao redor de 65 UH), compatível com hematoma. Paciente fazia uso crônico de anticoagulante.

Hematoma muscular pós-uso de anticoagulante: Existem várias causas para o surgimento do hematoma muscular que serão descritas adiante. Em geral, costuma ser bastante sintomático.

As principais causas do hematoma muscular são traumáticos e atraumáticos (alguns fatores desencadeadores são: história de uso de anticoagulante, discrasias sanguíneas, exercício físico vigoroso, distensão abdominal, ascite, doenças do colágeno e outros).

Quadro clínico: Manifesta-se, principalmente, por dor repentina e de forte intensidade na musculatura acometida, hipersensibilidade local à pressão e à contração muscular após a fase aguda, podendo haver abaulamento da região acometida.

    Achados de imagem:
  • Radiografia : Podemos observar um aumento das partes moles, com apagamento das linhas de gordura. No entanto, não é possível definir a causa do aumento de partes moles neste exame. Faz-se necessário complementar com outro exame de imagem para confirmar a presença do hematoma muscular;
  • Ultrassonografia (US) : A sua aparência de imagem está relacionada à fase do sangramento. Numa fase aguda, o hematoma apresenta-se na US como lesão intramuscular heterogênea, predominante hiperecogênica. Na fase subaguda, ele torna-se mais heterogêneo, contendo septos e ecos internos;
  • Tomografia computadorizada (TC): Observamos aumento volumétrico da musculatura acometida e conteúdo espontaneamente denso no estudo sem contraste (50-80 UH) (figura 1);
  • Ressonância magnética : Hipersinal em T1 que pode representar gordura ou sangue. Auxilia bastante realizar a sequência T1 com supressão de gordura ( fat sat ), pois caso permaneça o alto sinal, deve representar sangramento.

Em geral, se não houver extensão do hematoma além dos planos musculares, o manejo é conservador, com repouso da musculatura afetada, uso de gelo local, analgesia e suspensão da eventual terapia anticoagulante. Pode ser necessária reposição volêmica e hemotransfusão em alguns casos.

Diagnóstico diferencial: O principal deles, principalmente quando relacionado ao trauma, são as coleções intramusculares.

Autoria principal: Elazir Mota (Radiologia, especialista em Radiologia Pediátrica).

Valentim LF, Rodrigues GL, Coeli RM. Hematoma espontâneo do músculo reto abdominal. Revista do Colégio Brasileiro de Cirurgiões. 2005; 32(3):165-166.

Dubinsky IL. Hematoma of the rectus abdominis muscle: case report and review of the literature. J Emerg Med. 1997; 15(2):165-7.

Wu JS, Hochman MG. Soft-tissue tumors and tumorlike lesions: a systematic imaging approach. Radiology. 2009; 253(2):297-316.

Martinoli C, Bianchi S. Hand. In: Ultrasound of the Musculoskeletal System. New York: Springer, 2007. 545-546.