Conteúdo copiado com sucesso!

Adenoma Hipofisário

Voltar
Texto alternativo para a imagem Créditos: Athena Hub/Medical Harbour
Texto alternativo para a imagem Créditos: Athena Hub/Medical Harbour

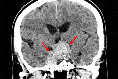
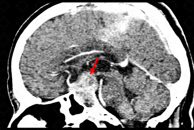
Descrição das figuras: Tomografia computadorizada do crânio pós-contraste evidenciando lesão intrasselar, com extensão suprasselar (formato em 8), com ávida captação pelo meio de contraste, envolvendo os seios cavernosos, de forma mais evidente à direita (setas vermelhas).

Macroadenoma hipofisário: Grupo de lesões pertencentes aos adenomas hipofisários, sendo neoplasias caracteristicamente com seu surgimento intrasselar. Os adenomas hipofisários dividem-se em: microadenomas (lesões com 10 mm ou menos) e macroadenomas (lesões superiores a 10 mm, apresentando na maioria dos casos componente suprasselar). [cms-watermark]

O adenoma hipofisário com extensão suprasselar (ou macroadenoma) tem aspecto de uma "figura de 8" ou boneco de neve, pois é suavemente comprimido ao nível do diafragma selar. Corresponde a cerca de 33-55% das massas suprasselares nos adultos.

Aspectos de imagem: Como já dito acima, são lesões intra e suprasselares, com aspecto em 8 ou boneco de neve e que realçam fortemente e de forma heterogênea pelo meio de contraste. As calcificações são raras. Na ressonância magnética, o sinal da lesão é variável, mas, na maioria dos casos, seu sinal é semelhante à substância cinzenta nas sequências (figuras acima). Pode existir presença de nível líquido nas apoplexias.

Pode ser muito agressivo com erosão do assoalho selar, invasão do seio cavernoso e envolvimento da carótida interna.

Autoria principal: Elazir Mota (Radiologia, especialista em Radiologia Pediátrica).

Gutenberg A, Larsen J, Lupi I, et al. A Radiologic Score to Distinguish Autoimmune Hypophysitis from Nonsecreting Pituitary Adenoma Preoperatively. AJNR Am J Neuroradiol. 2009; 30(9):1766-72.

Saleem S, Said A, Lee D. Lesions of the Hypothalamus: MR Imaging Diagnostic Features. Radiographics. 2007; 27(4):1087-108.

Saeki N, Hayasaka M, Murai H, et al. Posterior Pituitary Bright Spot in Large Adenomas: MR Assessment of Its Disappearance or Relocation Along the Stalk. Radiology. 2003; 226(2):359-65.

Pisaneschi M & Kapoor G. Imaging the Sella and Parasellar Region. Neuroimaging Clin N Am. 2005; 15(1):203-19.